کارسینوم سلول بازال (Basal Cell Carcinoma – BCC) شایعترین سرطان پوست است که حدود ۸۵٪ موارد آن در نواحی در معرض نور خورشید مانند سر و گردن دیده میشود. با این حال، بروز BCC در ناحیه ولو (اندام تناسلی خارجی زنان) بسیار نادر است و کمتر از ۰٫۴٪ کل موارد BCC و تنها ۲–۵٪ بدخیمیهای ولو را شامل میشود.
بیماران مبتلا به BCC ولو اغلب زنانی سفیدپوست و مسن هستند (میانگین سنی حدود ۷۰ سال). از آنجا که این ناحیه در معرض مستقیم نور خورشید نیست، عوامل دیگری مانند سرکوب ایمنی، تحریک مزمن، پرتودرمانی لگنی یا آسیبهای مکرر پوستی میتوانند در ایجاد آن نقش داشته باشند.
در این مطلب، ترجمهٔ کامل یک گزارش موردی از دکتر رضا معینی و همکارانشان ارائه میشود که در آن یک زن ۷۷ ساله با ضایعه BCC ولو با روش جراحی میکروگرافیک Slow-Mohs بهطور موفقیتآمیز درمان شد. نسخه اصلی مقاله در مجله Clinical Case Reports منتشر شده است و میتوانید آن را از این لینک بخوانید:
مطالعه کامل مقاله در Wiley 👉
گزارش موردی (Case Presentation)
یک زن ۷۷ ساله، چندزا (multiparous) با احساس ناراحتی و خارش در ناحیه ولو مراجعه کرد. او یک ضایعهٔ صورتیرنگ داشت که ۲ سال قبل شروع شده بود و بهتدریج پیشرفت کرده بود (شکل ۱). بیمار بهعنوان درمان از کورتیکواستروئیدها و کرمهای ضدقارچ استفاده کرده بود، اما هیچ موفقیتی حاصل نشده بود.
در شرححال بیمار:
مصرف منظم داروها، سوءمصرف مواد، بیماریهای مقاربتی، استعمال دخانیات، سرکوب ایمنی یا هرگونه اختلال خاص رد شد.
بیمار همچنین هرگونه سابقه شخصی یا خانوادگی از سرطانهای پوستی یا بدخیمیهای داخلی را انکار کرد.
شکل ۱ — پلاک فرسایشی روی لب بزرگ راست در زن ۷۷ ساله به نفع کارسینوم سلول بازال:
(A) هنگام پذیرش،(B) پس از جراحی Mohs،(C) پس از ۱۳ ماه پیگیری
در معاینه فیزیکی، یک پلاک فرسایشی ۱۰ × ۴ سانتیمتر با حدود مشخص روی لب بزرگ راست مشاهده شد. در نواحی اینگوینال و فمورال هیچ غدد لنفاوی قابل لمس وجود نداشت. معاینه کامل پوست نیز هیچ ضایعه مشکوکی نشان نداد. سونوگرافی هم غدد لنفاوی اینگوینال غیرطبیعی را گزارش نکرد.
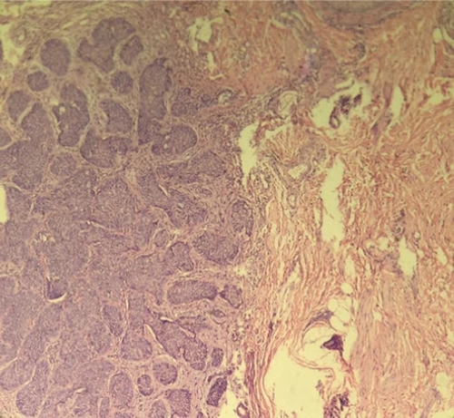
برای تأیید تشخیص، بیوپسی برشی (incisional biopsy) از ضایعه انجام شد. پاتولوژی ضایعه نشان داد:
تکثیر نئوپلاستیک درم از سلولهای اپیتلیال کوچک
نسبت بالای هسته به سیتوپلاسم
تشکیل دستههای نامنظم با پالیسادینگ سلولها در محیط (شکل ۲)

شکل ۲ — مقطع بافتشناسی نشاندهنده تکثیر نئوپلاستیک سلولهای اپیتلیال کوچک با نسبت هسته به سیتوپلاسم بالا و پالیسادینگ محیطی، به نفع BCC
تشخیص کارسینوم سلول بازال ندولار (Nodular BCC) قطعی شد و بیمار تحت جراحی میکروگرافیک Slow-Mohs (MMS) قرار گرفت. در پیگیری ۱۳ ماهه، ناحیه بهطور کامل ترمیم شده بود و هیچ نشانهای از عود وجود نداشت (شکل ۱).
توضیحات
به دلیل نادر بودن بروز، کارسینوم سلول بازال ولو (Vulvar BCC) بهطور محدود مورد مطالعه و گزارش قرار گرفته است. عوامل اتیولوژیک شامل همان عواملی هستند که در BCC پوستی نقش دارند، از جمله: پرتودرمانی، تماس با قطران یا آرسنیک، سوختگیها، اسکارهای تروماتیک، تحریک مزمن پوستی، انواع خاصی از سرکوب ایمنی، بیماریهای پوستی ارثی مانند xeroderma pigmentosum و nevoid basal cell carcinoma syndrome. همچنین در برخی موارد ارتباط این بیماری با بیماری پاژه ولو و لیکن اسکلروز گزارش شده است. با این حال، در مورد حاضر هیچ عامل خطر مرتبطی برای ایجاد BCC یافت نشد.
برخلاف مورد حاضر، مرور منابع نشان داده است که معمولاً بین بروز BCC ولو و ظهور علائم (مانند سوزش و خارش) تأخیری چندساله وجود دارد.
تظاهرات بالینی BCC ولو غیراختصاصی هستند و شامل: خارش، ناراحتی، خونریزی، درد، ضایعات پیگمانته نفوذی، و وجود توده قابل لمس در ناحیه ولو میباشند. در بیشتر زنان، این ضایعات در سطح غیرمخاطی لابیا ماژور قرار دارند. موارد دوطرفه یا مولتیفوکال بسیار نادر هستند.
به طور کلی، متاستاز در BCC ولو نادر است. با این حال، الگوهای هیستولوژیک تهاجمی (مورفهآ فرم، اینفیلتراسیون، و بازوسکواموس)، اندازه بزرگ تومور اولیه (>۲ سانتیمتر) و گسترش گهگاه اطراف اعصاب، عوامل شایع در موارد BCC ولو متاستاتیک هستند. شایعترین محلهای متاستاز شامل: غدد لنفاوی اینگوینال، استخوان، ریه و پوست میباشند.
بهترین روش برای تشخیص، بیوپسی از ضایعات مشکوک است. تشخیصهای افتراقی BCC ولو شامل:
درماتوزهای التهابی مانند درماتیت آتوپیک، پسوریازیس، لیکن پلان، لیکن سیمپلکس مزمن
بدخیمیهای دیگر ولو مانند نئوپلازی داخلواژینال (VAIN)، بیماری پاژه ولو، کارسینوم سلول سنگفرشی (SCC)
و تومورهای خوشخیم ولو مانند کراتوز سبورئیک مسطح میباشد.
🔹 درمان
درمان BCC میتواند جراحی یا غیرجراحی باشد.
روشهای جراحی: کورتاژ، کوتری، کرایوسرجری، جراحی میکروگرافیک Mohs (MMS) و برداشت کامل جراحی.
روشهای غیرجراحی: رادیوتراپی و شیمیدرمانی سیستمیک.
قابل اعتمادترین درمان برای کارسینوم سلول بازال، جراحی است. روشهایی مانند کورتاژ، کوتری و کرایوسرجری برای ضایعات سطحی بهکار رفتهاند، اما پذیرش بیماران نسبت به این روشها پایین است. همچنین، ضایعات BCC حساسیت متوسطی به رادیوتراپی دارند و شیمیدرمانی سیستمیک در درمان BCC موضعی مؤثر نیست.
برداشت جراحی وسیع با هدف دستیابی به حاشیههای بافتی سالم از نظر بافتشناسی، درمان کافی برای بیشتر موارد BCC ولو محسوب میشود. برای پیشگیری از عود موضعی، طراحی جراحی باید شامل ۵ تا ۱۰ میلیمتر حاشیه بافت ظاهراً سالم و عمق تا فاشیا باشد.
به دلیل برداشت ناقص، عود موضعی BCC ولو تا حدود ۱۰–۲۰٪ گزارش شده است؛ بنابراین، MMS میتواند بهعنوان یک درمان امیدبخش برای BCC ولو در نظر گرفته شود.
روش MMS بهویژه برای درمان BCC عودکننده، BCC بزرگ یا BCC با الگوی هیستولوژیک تهاجمی استفاده میشود و در این موارد، نرخ بهبودی بیش از ۹۷٪ گزارش شده است. این روش همچنین با نتایج زیبایی و عملکردی بهتر همراه است.
در مورد حاضر، ما از MMS برای درمان BCC ولو استفاده کردیم که نتایج زیبایی مطلوبی داشت. MMS همچنین کنترل خوبی بر حاشیهها ایجاد کرد و از عود جلوگیری نمود. بنابراین، این روش میتواند بهویژه با توجه به تأخیر معمول در تشخیص، بهعنوان روش انتخابی درمان BCC ولو در نظر گرفته شود.
🔹 روش Slow-Mohs
در این روش:
ابتدا تومور دبلاک میشود.
سپس ۲ میلیمتر از حاشیهها با زاویه ۴۵ درجه برداشته میشود.
تومور بسته به اندازه به دو یا چند بخش تقسیم شده و بهصورت ساعتگرد شمارهگذاری میشود.
هر حاشیه رنگآمیزی شده، در فرمالین قرار گرفته و برای بررسی پاتولوژیک بهصورت برش افقی (horizontal section) ارسال میشود.
تفاوت این روش با Mohs معمولی در این است که در روش سنتی از برش فریز (frozen section) استفاده میشود. روش Slow-Mohs نتایج پاتولوژیک دقیقتری ارائه میدهد و بنابراین منجر به درمان و پیگیری بهتر نسبت به MMS متداول با برش فریز میشود.
نتیجهگیری
کارسینوم سلول بازال ولو یک سرطان نادر است که بهدلیل تظاهرات غیراختصاصی ممکن است دیر تشخیص داده شود. بهترین روش درمانی، جراحی با کنترل دقیق حاشیهها است و روش Slow-Mohs میتواند بهعنوان گزینهای مؤثر و استاندارد در این بیماران بهویژه برای پیشگیری از عود در نظر گرفته شود.
منبع:
این گزارش موردی توسط دکتر رضا معینی و همکارانشان منتشر شده است. نسخه اصلی مقاله را میتوانید در لینک زیر مطالعه کنید:
Treatment of vulvar basal cell carcinoma with Slow-Mohs micrographic surgery: A case report (Wiley) 👉

